Zęby w jeden dzień Świnoujście

Zabieg Zęby w jeden dzień w Świnoujściu zyskuje coraz większą popularność wśród pacjentów, którzy pragną szybko i efektywnie poprawić swój uśmiech. Jedną z głównych zalet tego rozwiązania jest oszczędność czasu. W tradycyjnych metodach leczenia stomatologicznego pacjenci często muszą odwiedzać gabinet wielokrotnie, co może być uciążliwe i czasochłonne. W przypadku zabiegu Zęby w jeden dzień, cała procedura odbywa się podczas jednej wizyty, co pozwala na natychmiastowe cieszenie się nowym uśmiechem. Kolejną istotną korzyścią jest minimalizacja dyskomfortu. Dzięki nowoczesnym technologiom oraz znieczuleniu pacjenci rzadko odczuwają ból czy nieprzyjemne doznania podczas zabiegu. Dodatkowo, efekty są widoczne od razu, co zwiększa satysfakcję pacjentów. Warto również zauważyć, że zabieg ten jest dostosowany do indywidualnych potrzeb każdego pacjenta, co sprawia, że rezultaty są nie tylko estetyczne, ale także funkcjonalne.

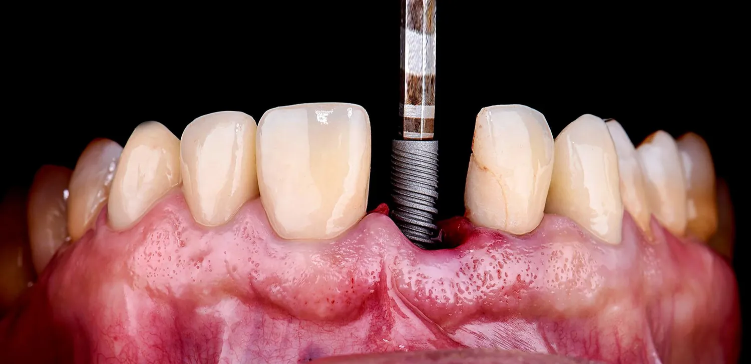
Jak wygląda proces Zęby w jeden dzień w Świnoujściu

Proces Zęby w jeden dzień w Świnoujściu jest starannie zaplanowany i przebiega według ustalonego schematu, który zapewnia maksymalną efektywność oraz komfort dla pacjenta. Na początku każdej wizyty lekarz przeprowadza szczegółowy wywiad oraz badanie stomatologiczne, aby ocenić stan uzębienia oraz potrzeby pacjenta. Następnie wykonuje się zdjęcia rentgenowskie oraz skany 3D jamy ustnej, co pozwala na dokładne zaplanowanie całego zabiegu. Po przygotowaniu planu leczenia następuje etap usunięcia ewentualnych zębów, które nie nadają się do odbudowy. W kolejnym kroku lekarz przystępuje do wszczepienia implantów lub wykonania koron protetycznych, które są mocowane na wcześniej przygotowanych fundamentach. Cały proces trwa zazwyczaj kilka godzin, a pacjent po zakończeniu zabiegu otrzymuje instrukcje dotyczące pielęgnacji nowych zębów oraz zalecenia dotyczące diety na najbliższe dni.

Jakie są opinie pacjentów o Zęby w jeden dzień Świnoujście

Zęby w jeden dzień Świnoujście
Zęby w jeden dzień Świnoujście

Opinie pacjentów o zabiegu Zęby w jeden dzień w Świnoujściu są zazwyczaj bardzo pozytywne i pełne entuzjazmu. Wielu z nich podkreśla przede wszystkim wygodę i szybkość całej procedury, co pozwala im zaoszczędzić czas oraz uniknąć długotrwałego leczenia. Pacjenci często zwracają uwagę na profesjonalizm personelu medycznego oraz ich empatię wobec obaw i lęków związanych z zabiegami stomatologicznymi. Również komfort podczas samego zabiegu jest często chwalony; wiele osób podkreśla, że dzięki zastosowaniu nowoczesnych metod znieczulenia nie odczuwali bólu ani dyskomfortu. Dodatkowo, po zakończeniu zabiegu pacjenci zauważają natychmiastową poprawę estetyki swojego uśmiechu, co wpływa na ich pewność siebie i samopoczucie. Wiele osób dzieli się swoimi doświadczeniami na forach internetowych oraz w mediach społecznościowych, co przyczynia się do rosnącej popularności tej metody leczenia.

Czy Zęby w jeden dzień to dobra opcja dla każdego

Zabieg Zęby w jeden dzień w Świnoujściu może być doskonałym rozwiązaniem dla wielu osób pragnących poprawić swój uśmiech, jednak nie każdy pacjent będzie idealnym kandydatem do tego typu procedury. Kluczowe znaczenie ma stan zdrowia jamy ustnej oraz ogólny stan zdrowia pacjenta. Osoby cierpiące na poważne schorzenia ogólnoustrojowe lub mające problemy ze zdrowiem jamy ustnej mogą wymagać wcześniejszej diagnostyki oraz leczenia przed przystąpieniem do zabiegu. Ważne jest również to, aby pacjent miał realistyczne oczekiwania dotyczące efektów końcowych oraz był świadomy możliwych komplikacji związanych z wszczepieniem implantów czy wykonaniem koron protetycznych. Dlatego przed podjęciem decyzji o zabiegu warto skonsultować się ze specjalistą, który oceni indywidualne potrzeby i możliwości pacjenta.

Jakie są koszty zabiegu Zęby w jeden dzień w Świnoujściu

Koszty zabiegu Zęby w jeden dzień w Świnoujściu mogą się znacznie różnić w zależności od wielu czynników, takich jak rodzaj zastosowanych materiałów, doświadczenie lekarza oraz lokalizacja gabinetu stomatologicznego. Warto zaznaczyć, że cena nie zawsze jest wyznacznikiem jakości, dlatego przed podjęciem decyzji warto dokładnie zapoznać się z ofertą różnych placówek. W przypadku implantów ceny mogą zaczynać się od kilku tysięcy złotych za jeden implant, a całkowity koszt leczenia może wzrosnąć w zależności od liczby potrzebnych wszczepów oraz dodatkowych procedur, takich jak lifting dziąseł czy odbudowa kości. Wiele klinik oferuje różne formy finansowania, takie jak płatności ratalne czy kredyty na leczenie, co może ułatwić pacjentom podjęcie decyzji o zabiegu. Dobrze jest również sprawdzić, czy klinika współpracuje z ubezpieczycielami, co może obniżyć koszty leczenia.

Jakie są najczęstsze pytania dotyczące Zębów w jeden dzień w Świnoujściu

Wokół zabiegu Zęby w jeden dzień w Świnoujściu narosło wiele pytań i mitów, które warto rozwiać. Jednym z najczęściej zadawanych pytań jest to, czy zabieg jest bolesny. Dzięki nowoczesnym metodom znieczulenia pacjenci rzadko odczuwają ból podczas procedury, a po jej zakończeniu mogą stosować leki przeciwbólowe, jeśli zajdzie taka potrzeba. Kolejnym pytaniem jest czas trwania całego zabiegu. Zazwyczaj trwa on kilka godzin, jednak czas ten może się różnić w zależności od indywidualnych potrzeb pacjenta oraz skomplikowania przypadku. Pacjenci często zastanawiają się również nad tym, jak długo utrzymują się efekty zabiegu. Przy odpowiedniej pielęgnacji oraz regularnych wizytach kontrolnych nowe zęby mogą służyć przez wiele lat. Inne pytanie dotyczy tego, jakie są przeciwwskazania do przeprowadzenia zabiegu. Osoby z poważnymi schorzeniami ogólnoustrojowymi lub problemami ze zdrowiem jamy ustnej powinny skonsultować się ze specjalistą przed podjęciem decyzji o leczeniu.

Jak dbać o nowe zęby po zabiegu Zęby w jeden dzień

Prawidłowa pielęgnacja nowych zębów po zabiegu Zęby w jeden dzień w Świnoujściu jest kluczowa dla ich długowieczności oraz zdrowia jamy ustnej. Po zakończeniu procedury lekarz zazwyczaj udziela szczegółowych wskazówek dotyczących higieny oraz diety. Ważne jest, aby przez pierwsze dni unikać twardych i lepkich pokarmów, które mogą obciążać nowe zęby lub prowadzić do ich uszkodzenia. Zaleca się spożywanie miękkich potraw oraz picie chłodnych napojów przez pierwsze 24 godziny po zabiegu. Higiena jamy ustnej powinna być kontynuowana zgodnie z zaleceniami lekarza; należy myć zęby co najmniej dwa razy dziennie oraz stosować nici dentystyczne do oczyszczania przestrzeni międzyzębowych. Regularne wizyty kontrolne u stomatologa są równie istotne; pozwalają na monitorowanie stanu zdrowia nowych zębów oraz wykrywanie ewentualnych problemów na wczesnym etapie.

Jak przygotować się do zabiegu Zęby w jeden dzień w Świnoujściu

Przygotowanie do zabiegu Zęby w jeden dzień w Świnoujściu jest kluczowym elementem zapewniającym jego sukces oraz komfort pacjenta. Na początku warto umówić się na konsultację ze specjalistą, który oceni stan zdrowia jamy ustnej oraz przedstawi plan leczenia dostosowany do indywidualnych potrzeb pacjenta. Przed samym zabiegiem zaleca się wykonanie zdjęć rentgenowskich oraz skanów 3D jamy ustnej, co pozwoli na dokładne zaplanowanie procedury. Należy również zadbać o odpowiednią higienę jamy ustnej; przed wizytą warto dokładnie umyć zęby i użyć nici dentystycznych. W dniu zabiegu dobrze jest przyjść na czczo lub stosować się do zaleceń lekarza dotyczących diety przed procedurą. Pacjenci powinni również poinformować lekarza o wszelkich przyjmowanych lekach oraz schorzeniach zdrowotnych, które mogą wpłynąć na przebieg zabiegu.

Jak znaleźć najlepszą klinikę do Zębów w jeden dzień w Świnoujściu

Wybór odpowiedniej kliniki do przeprowadzenia zabiegu Zęby w jeden dzień w Świnoujściu jest kluczowy dla osiągnięcia satysfakcjonujących efektów oraz komfortu pacjenta. Na początku warto zwrócić uwagę na opinie innych pacjentów; recenzje dostępne w internecie mogą dostarczyć cennych informacji na temat jakości usług oferowanych przez daną placówkę. Ważne jest również doświadczenie lekarzy pracujących w klinice; im więcej mają oni praktyki i pozytywnych rezultatów swoich działań, tym większa szansa na sukces przeprowadzonego zabiegu. Kolejnym aspektem jest wyposażenie gabinetu; nowoczesny sprzęt i technologie mogą znacząco wpłynąć na jakość przeprowadzanych procedur oraz komfort pacjentów. Dobrym pomysłem jest również umówienie się na konsultację przed podjęciem decyzji; pozwoli to ocenić atmosferę panującą w klinice oraz uzyskać odpowiedzi na wszelkie nurtujące pytania dotyczące planowanego leczenia.

Jak wygląda rehabilitacja po zabiegu Zęby w jeden dzień

Rehabilitacja po zabiegu Zęby w jeden dzień w Świnoujściu ma kluczowe znaczenie dla prawidłowego gojenia się tkanek oraz zachowania zdrowia jamy ustnej. Po zakończeniu procedury pacjent otrzymuje szczegółowe instrukcje dotyczące postępowania po zabiegu; ważne jest ich przestrzeganie dla uniknięcia komplikacji i zapewnienia optymalnych efektów końcowych. W pierwszych dniach po zabiegu zaleca się unikanie intensywnego wysiłku fizycznego oraz dbanie o odpowiednią higienę jamy ustnej bez nadmiernego nacisku na nowe zęby. Pacjent powinien stosować leki przeciwbólowe zgodnie z zaleceniami lekarza oraz unikać gorących napojów i twardych pokarmów przez kilka dni po zabiegu. Regularne wizyty kontrolne są niezbędne do monitorowania procesu gojenia; lekarz oceni stan nowych zębów i podejmie ewentualne działania korygujące, jeśli zajdzie taka potrzeba.