Zęby w jeden dzień Szczecin

Leczenie zębów w jeden dzień to nowoczesna metoda, która zyskuje na popularności w Szczecinie. Wiele osób boryka się z problemami dentystycznymi, które wymagają szybkiej interwencji. W tradycyjnym podejściu pacjent często musi odwiedzać gabinet stomatologiczny kilkukrotnie, co może być uciążliwe i czasochłonne. Dzięki nowym technologiom oraz innowacyjnym rozwiązaniom, takim jak implanty czy korony, możliwe jest przeprowadzenie skomplikowanych zabiegów w ciągu jednego dnia. W Szczecinie wiele klinik oferuje takie usługi, co sprawia, że pacjenci mogą cieszyć się zdrowym uśmiechem bez długiego oczekiwania. Warto zwrócić uwagę na to, że leczenie w jeden dzień wymaga odpowiedniego przygotowania oraz doświadczenia ze strony lekarzy. Dzięki zastosowaniu nowoczesnych technologii, takich jak skanery 3D czy drukarki 3D, możliwe jest szybkie wykonanie indywidualnych rozwiązań dla każdego pacjenta.

Jakie są zalety leczenia zębów w jeden dzień w Szczecinie

Leczenie zębów w jeden dzień w Szczecinie niesie ze sobą wiele korzyści, które przyciągają pacjentów do klinik stomatologicznych. Przede wszystkim oszczędność czasu jest kluczowym czynnikiem dla wielu osób. W dzisiejszych czasach, gdy życie toczy się w szybkim tempie, możliwość załatwienia sprawy zdrowotnej w jednym dniu jest niezwykle cenna. Pacjenci nie muszą martwić się o kolejne wizyty oraz długie okresy oczekiwania na zakończenie leczenia. Kolejną zaletą jest komfort psychiczny związany z szybkim uzyskaniem efektów. Po jednym dniu można cieszyć się nowymi zębami lub poprawionym uśmiechem, co wpływa na samopoczucie i pewność siebie. Dodatkowo, nowoczesne technologie stosowane podczas zabiegów pozwalają na minimalizację bólu oraz dyskomfortu, co jest istotne dla wielu pacjentów obawiających się wizyt u dentysty.

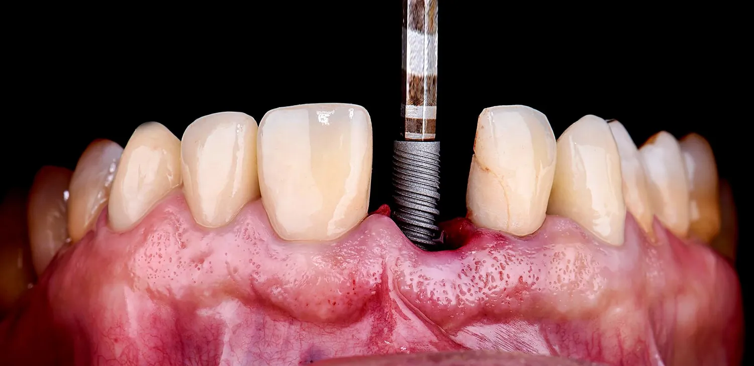
Jakie technologie są wykorzystywane w leczeniu zębów w jeden dzień

Zęby w jeden dzień Szczecin
Zęby w jeden dzień Szczecin

W leczeniu zębów w jeden dzień wykorzystywane są zaawansowane technologie, które rewolucjonizują tradycyjne podejście do stomatologii. Jednym z najważniejszych narzędzi są skanery 3D, które umożliwiają dokładne odwzorowanie struktury jamy ustnej pacjenta. Dzięki temu lekarze mogą szybko i precyzyjnie zaplanować zabieg oraz wykonać odpowiednie protezy czy korony. Kolejnym istotnym elementem są drukarki 3D, które pozwalają na produkcję indywidualnych rozwiązań stomatologicznych na miejscu w gabinecie. To znacząco skraca czas oczekiwania na wykonanie protez czy koron i eliminuje potrzebę wysyłania ich do laboratorium protetycznego. Dodatkowo wiele klinik korzysta z technologii CAD/CAM, która umożliwia projektowanie i produkcję elementów stomatologicznych bezpośrednio podczas wizyty pacjenta. Takie innowacje sprawiają, że proces leczenia staje się bardziej efektywny i komfortowy dla pacjentów.

Jak znaleźć najlepsze kliniki oferujące leczenie zębów w jeden dzień w Szczecinie

Aby znaleźć najlepsze kliniki oferujące leczenie zębów w jeden dzień w Szczecinie, warto skorzystać z kilku sprawdzonych metod poszukiwania. Przede wszystkim dobrym krokiem jest przeszukiwanie internetu i zapoznawanie się z opiniami innych pacjentów na temat różnych placówek stomatologicznych. Portale społecznościowe oraz fora internetowe mogą dostarczyć cennych informacji na temat jakości usług oraz atmosfery panującej w danej klinice. Kolejną opcją jest konsultacja ze znajomymi lub rodziną, którzy mogą polecić sprawdzone miejsca na podstawie własnych doświadczeń. Ważne jest również zwrócenie uwagi na kwalifikacje lekarzy oraz dostępne technologie stosowane w danej klinice. Warto poszukać informacji o specjalizacjach stomatologów oraz ich doświadczeniu w zakresie leczenia implantologicznego czy protetycznego. Ostatecznie warto umówić się na konsultację do kilku klinik, aby osobiście ocenić warunki oraz podejście personelu do pacjentów.

Jakie są koszty leczenia zębów w jeden dzień w Szczecinie

Koszty leczenia zębów w jeden dzień w Szczecinie mogą się znacznie różnić w zależności od rodzaju zabiegu oraz wybranej kliniki. Warto zaznaczyć, że nowoczesne technologie oraz szybkie metody leczenia często wiążą się z wyższymi wydatkami, jednak wiele osób uważa, że warto zainwestować w zdrowy uśmiech. Ceny implantów, koron czy innych procedur stomatologicznych mogą wahać się od kilkuset do kilku tysięcy złotych, co sprawia, że przed podjęciem decyzji warto dokładnie zapoznać się z ofertą różnych placówek. Niektóre kliniki oferują atrakcyjne promocje lub pakiety usług, które mogą znacznie obniżyć całkowity koszt leczenia. Dodatkowo warto zwrócić uwagę na możliwość rozłożenia płatności na raty, co może ułatwić finansowanie zabiegów. Warto również sprawdzić, czy dana klinika współpracuje z ubezpieczeniami zdrowotnymi, co może pomóc w pokryciu części kosztów.

Jakie są opinie pacjentów na temat leczenia zębów w jeden dzień w Szczecinie

Opinie pacjentów na temat leczenia zębów w jeden dzień w Szczecinie są zazwyczaj pozytywne, co świadczy o rosnącej popularności tej metody. Wielu pacjentów docenia przede wszystkim oszczędność czasu oraz komfort związany z szybkim uzyskaniem efektów. Osoby, które zdecydowały się na takie leczenie, często podkreślają profesjonalizm personelu oraz nowoczesne technologie wykorzystywane podczas zabiegów. Dzięki tym innowacjom pacjenci czują się bezpieczniej i bardziej komfortowo podczas wizyt u dentysty. Wiele osób zauważa również znaczną poprawę estetyki swojego uśmiechu po przeprowadzonych zabiegach, co wpływa na ich pewność siebie i samopoczucie. Niemniej jednak niektórzy pacjenci mogą mieć obawy związane z kosztami oraz czasem trwania zabiegów.

Jakie są najczęstsze pytania dotyczące leczenia zębów w jeden dzień

Wielu pacjentów ma szereg pytań dotyczących leczenia zębów w jeden dzień, które mogą pomóc im lepiej zrozumieć ten proces oraz podjąć świadomą decyzję o wyborze kliniki. Jednym z najczęściej zadawanych pytań jest to, jakie rodzaje zabiegów można wykonać w tak krótkim czasie. Wiele osób zastanawia się również nad tym, jak długo trwa cały proces oraz jakie są etapy leczenia. Inne pytania dotyczą bezpieczeństwa i komfortu związanych z przeprowadzanymi zabiegami oraz ewentualnych powikłań. Pacjenci często interesują się także kosztami oraz możliwością rozłożenia płatności na raty. Warto również zwrócić uwagę na to, jakie technologie są wykorzystywane przez konkretne kliniki oraz jakie mają one doświadczenie w zakresie szybkiego leczenia stomatologicznego. Odpowiedzi na te pytania można znaleźć zarówno na stronach internetowych klinik, jak i podczas konsultacji ze specjalistami.

Jak przygotować się do wizyty u dentysty na leczenie zębów w jeden dzień

Aby przygotować się do wizyty u dentysty na leczenie zębów w jeden dzień, warto zwrócić uwagę na kilka istotnych aspektów. Przede wszystkim dobrze jest umówić się na konsultację przed planowanym zabiegiem, aby omówić wszystkie szczegóły oraz oczekiwania wobec leczenia. Podczas takiej wizyty lekarz przeprowadzi dokładny wywiad medyczny oraz oceni stan zdrowia jamy ustnej pacjenta. Ważne jest również zebranie wszystkich niezbędnych dokumentów medycznych oraz informacji o przyjmowanych lekach, co może pomóc lekarzowi w podjęciu odpowiednich decyzji dotyczących leczenia. Przed samym zabiegiem warto zadbać o odpowiednią higienę jamy ustnej oraz unikać spożywania ciężkostrawnych posiłków lub alkoholu. Dobrze jest także przygotować się psychicznie na wizytę u dentysty i spróbować zrelaksować się przed zabiegiem.

Jakie są możliwe efekty uboczne po leczeniu zębów w jeden dzień

Po leczeniu zębów w jeden dzień mogą wystąpić różne efekty uboczne, które warto znać przed podjęciem decyzji o zabiegu. Choć nowoczesne technologie znacznie minimalizują ryzyko powikłań i dyskomfortu, każdy organizm reaguje inaczej na przeprowadzone procedury stomatologiczne. Najczęściej zgłaszanym objawem po takich zabiegach jest ból lub dyskomfort w okolicy leczonych zębów, który zazwyczaj ustępuje po kilku dniach. Inne możliwe efekty uboczne to opuchlizna czy krwawienie dziąseł, które mogą wystąpić szczególnie po implantacji lub ekstrakcji zębów. Warto również pamiętać o tym, że niektórzy pacjenci mogą być uczuleni na materiały używane podczas zabiegów protetycznych czy implantologicznych. Dlatego ważne jest informowanie lekarza o wszelkich alergiach lub wcześniejszych reakcjach na materiały stomatologiczne.

Jak dbać o zdrowe zęby po leczeniu w jeden dzień

Dbanie o zdrowe zęby po leczeniu w jeden dzień jest kluczowe dla utrzymania efektów osiągniętych podczas zabiegu oraz zapobiegania przyszłym problemom stomatologicznym. Po zakończeniu terapii warto stosować się do zaleceń lekarza dotyczących pielęgnacji jamy ustnej oraz regularnych wizyt kontrolnych. Codzienna higiena jamy ustnej powinna obejmować szczotkowanie zębów przynajmniej dwa razy dziennie pastą zawierającą fluor oraz nitkowanie przestrzeni międzyzębowych. Dodatkowo zaleca się unikanie nadmiernego spożycia słodyczy i napojów gazowanych, które mogą prowadzić do próchnicy i osłabienia szkliwa. Regularne wizyty u dentysty pozwalają na bieżąco monitorować stan zdrowia jamy ustnej oraz wykrywać ewentualne problemy we wczesnym stadium. Warto także zwrócić uwagę na dietę bogatą w składniki odżywcze wspierające zdrowie zębów i dziąseł, takie jak wapń czy witamina D.

Jakie są różnice między tradycyjnym a nowoczesnym podejściem do stomatologii

Różnice między tradycyjnym a nowoczesnym podejściem do stomatologii są znaczące i mają wpływ na jakość świadczonych usług oraz komfort pacjentów. Tradycyjne podejście często wiązało się z wieloma wizytami u dentysty oraz długim czasem oczekiwania na wykonanie prac protetycznych czy implantologicznych. Pacjenci musieli często korzystać z tymczasowych rozwiązań przez dłuższy czas przed otrzymaniem finalnych efektów swoich zabiegów.